症例|ウィルデンタルクリニック|木場駅の歯科・歯医者|土日診療
〒135-0042 東京都江東区木場1丁目4-3 MEFULL木場2F
tel.
03-6659-7781
WEB予約
MENU
ホーム
Home
医師紹介
Doctor
クリニック紹介
Clinic
診療案内
Medical
審美治療
ホワイトニング
矯正治療
インプラント
根管治療
歯周病治療
一般歯科・小児歯科
予防歯科
口腔外科
症例
Case
料金表
Fee
ご来院予定の方
First
アクセス
Access
ブログ
Blog
WEB予約
症例
症例|ウィルデンタルクリニック|木場駅の歯科・歯医者|土日診療
電話
WEB予約
アクセス
ホーム
症例
複合的な症例①(被せ物・歯周疾患)
複合的な症例②(被せ物・歯周疾患)
矯正治療の症例
セラミックの詰め物の症例
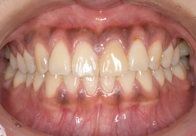
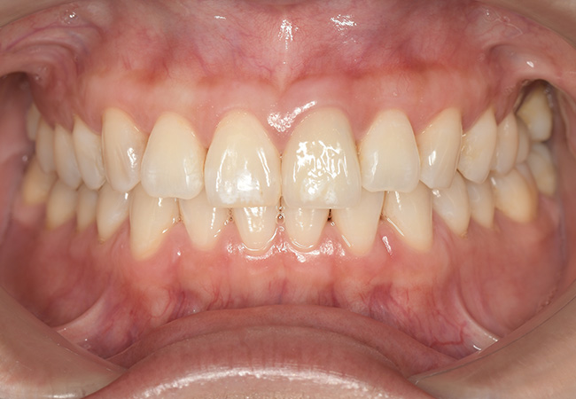
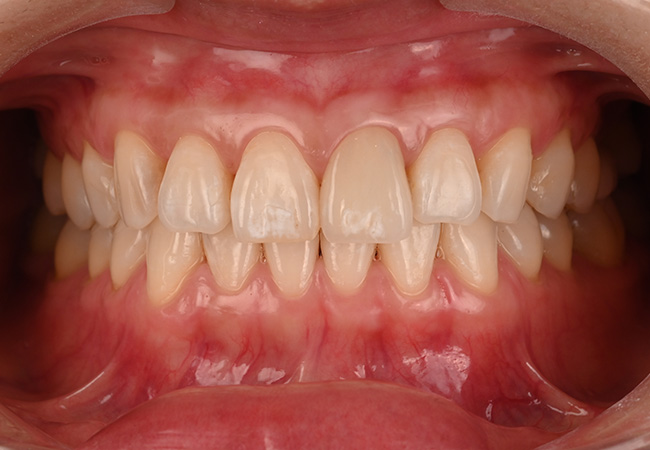
複合的な症例①
ビフォー
アフター
サムネイルを
クリック
タップ
すると
大きく表示されます。
主訴
前歯の真ん中が空いているのが気になる。被せ物をするためには歯周疾患の改善が必要なため、治療を希望された。
診断
中等度歯周炎、受動的萌出不全(Altered passive eruption)、上顎前歯部正中離開および関連する審美障害
治療内容
歯周基本治療、歯肉剥離搔爬術(フラップオペ)、歯冠長延長術(Crown lengthening)、歯槽骨整形術、歯肉切除術、ラミネートべニア(PLV)、ダイレクトボンディング
治療期間・通院回数
計4ヶ月 9回
歯周基本治療:2.5カ月 4回
歯周外科治療:0.5カ月 2回
ラミネートべニアおよびダイレクトボンディング:1カ月 3回
費用
総額550,000円(保険診療での費用は除く)
歯周基本治療、歯肉剥離搔爬術(フラップオペ):保険診療
歯冠長延長術(Crown lengthening)、歯槽骨整形術、歯肉切除術:22万円
ラミネートべニア(PLV):1本132,000円(税込)×2
ダイレクトボンディング:1本33,000円(税込)×2
リスク・副作用
術後痛、術後出血、過度の衝撃での破折リスク
治療過程
歯周基本治療後
歯周外科後
歯肉切除前
歯肉切除後
歯肉切除後安定
複合的な症例②
ビフォー
アフター
サムネイルを
クリック
タップ
すると
大きく表示されます。
主訴
見た目を綺麗にしたい。
診断
左上1不良補綴物、上顎左右2根面露出、上下顎歯肉着色
治療内容
左上1ジルコニアレイヤリングクラウン装着、上顎左右2根面被覆、ガムブリーチ
治療期間・通院回数
計約3ヶ月 7回
左上1治療:約1.5ヶ月 3回
根面被覆:約1ヶ月 3回
ガムブリーチ:約1週間 1回
費用
総額550,000円(保険診療での費用は除く)
左上1:165,000円(仮歯代含む)
根面被覆:左右で220,000円 (ワンブロック110,000円)
ガムブリーチ:22,000円
リスク・副作用
術後出血、歯肉退縮、ガムブリーチによる粘膜、口唇の火傷
矯正治療の症例
ビフォー
アフター
サムネイルを
クリック
タップ
すると
大きく表示されます。
主訴
右上の6番目の歯に亀裂があり神経まで到達したため、神経を除去することになった。原因が奥歯に過剰に負担がかかる噛み合わせであることを指摘され、矯正を希望された。
診断
オープンバイト(開咬)
治療内容
矯正治療
治療期間・通院回数
9ヶ月 9回
費用
総額946,000円(保険診療での費用は除く)
ワイヤー矯正:880,000円
ダイレクトボンディング:1本33,000円 ×2
リスク・副作用
術後痛、術後出血、過度の衝撃での破折リスク
セラミックの詰め物の症例①
ビフォー
アフター
サムネイルを
クリック
タップ
すると
大きく表示されます。
セラミックの詰め物の症例②
ビフォー
アフター
サムネイルを
クリック
タップ
すると
大きく表示されます。
セラミックの詰め物の症例③
ビフォー
アフター
サムネイルを
クリック
タップ
すると
大きく表示されます。
※表の内容は症例①〜③に共通する事項となります。
主訴
虫歯が出来た。虫歯になりにくい素材で治したい。
診断
虫歯
治療内容
セラミック修復(e-max)
治療期間・通院回数
1週間前後 2回
費用
71,500円
リスク・副作用
修復物の破折